
Best Dental Clinic in Dubai, Magnum Dental Clinic
Experience world-class dental care in the heart of Dubai with our expert specialists

Commitment to your smile's health and beauty
Magnum Dental Clinic delivers specialist-led dentistry in Dubai with modern diagnostics, transparent treatment plans, and comfort-first care. So you feel informed, safe, and confident at every visit.
98%
Invisalign Cases Completed with Precision
100%
Patient Satisfaction Rate
Complete Dental Care for Your Family – Expert Dentists, Comprehensive Services
We take pride in being your go-to destination for family dentistry in Dubai, catering to patients of all ages, from infants to seniors.
- Experienced Team – Our team of family dentists is fully equipped and experienced in providing complete dental care for every member of your family.
- State-of-the-Art Technology – We use cutting-edge technology to deliver top-notch dental treatments, ensuring the highest standard of care.
- Compassionate Care – Our compassionate and personalised approach sets us apart, earning us a strong reputation in the community.
- Focus on Oral Health at Every Stage – We understand the importance of maintaining good oral health throughout life and are dedicated to supporting you and your children in achieving healthy smiles.
- Excellence and Genuine Care – Trust your family's dental health to us, where excellence in family dentistry meets the warmth of genuine care.

Comprehensive dental care tailored services for every smile
From routine cleanings to complex procedures, we offer complete dental care for every member of your family
General Dentistry
Complete care for your everyday dental needs.
Dental Check-up
Routine exams for early problem detection.
Teeth Cleaning & Polishing
Professional plaque and tartar removal.
Tooth Decay Treatment
Effective cavity prevention and care.
Tooth Erosion Treatment
Enamel protection and restoration.
Tooth Sensitivity Treatment
Relief from hot and cold sensitivity.
Fluoride Treatment
Strengthens enamel and prevents cavities.
+ 33 More
Advanced dental scanners for precise care
Intraoral and CBCT scanners improve dental care quality by providing a more accurate way to take dental measurements. Our technology allows for more precise placement of dental implants, braces, and other dental treatments. The accuracy of the scans also helps to ensure that patients receive the best possible care.
- Improves the quality of dental care – The quality of our dental care is significantly improved with the new CBCT scanner and Intraoral scanner.
- Provides a 3D view to see the whole mouth – Our doctors may use this imaging technology to produce three-dimensional (3-D) images of your teeth, soft tissues, nerve pathways and bones in a single scan.
- Shorten the time for diagnosis and treatment – One scan can generate a vast variety of perspectives and angles, which can be manipulated in order to get a more complete assessment.

Flexible Dental Care, 7 Days a Week
We offer a variety of appointment options to suit your busy schedule, including weekdays, weekends, and evenings.
- Seven Days a Week – Our dental clinic is open seven days a week, ensuring you can find a convenient time for your visit.
- Committed Team – Our dedicated team is always ready to provide outstanding dental care and support.
- Priority on Oral Health – With flexible scheduling, you can prioritise your oral health without compromising on other commitments.
- Seamless Dental Scheduling – Experience a hassle-free scheduling process that perfectly aligns with your busy life.
- Convenient Care – Discover the convenience of dental appointments that fit your lifestyle and needs.

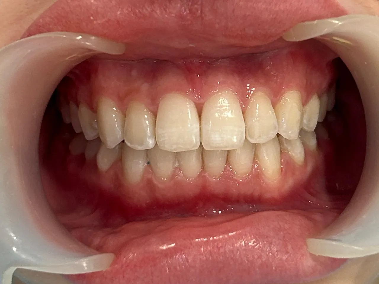
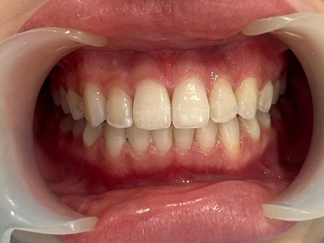
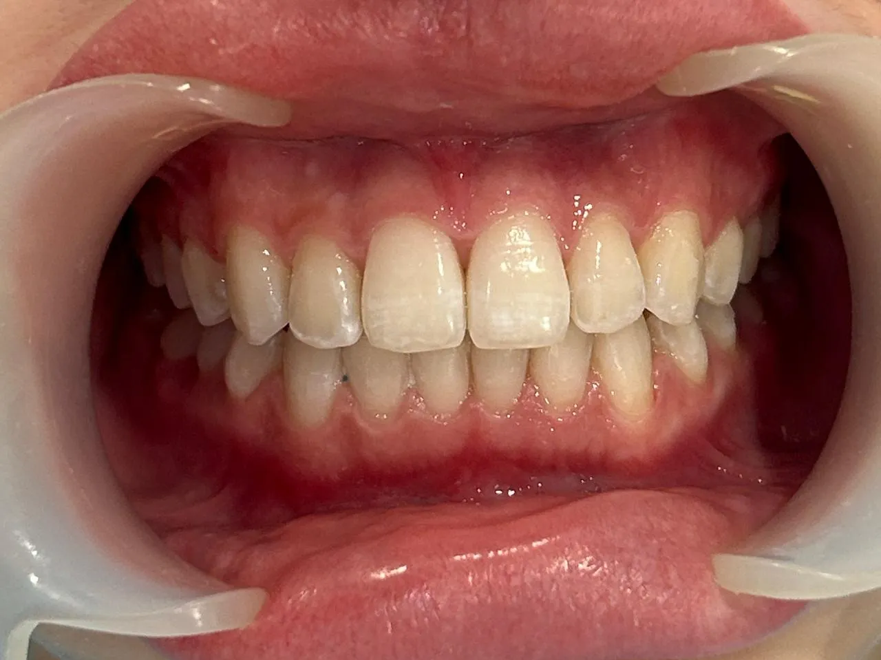
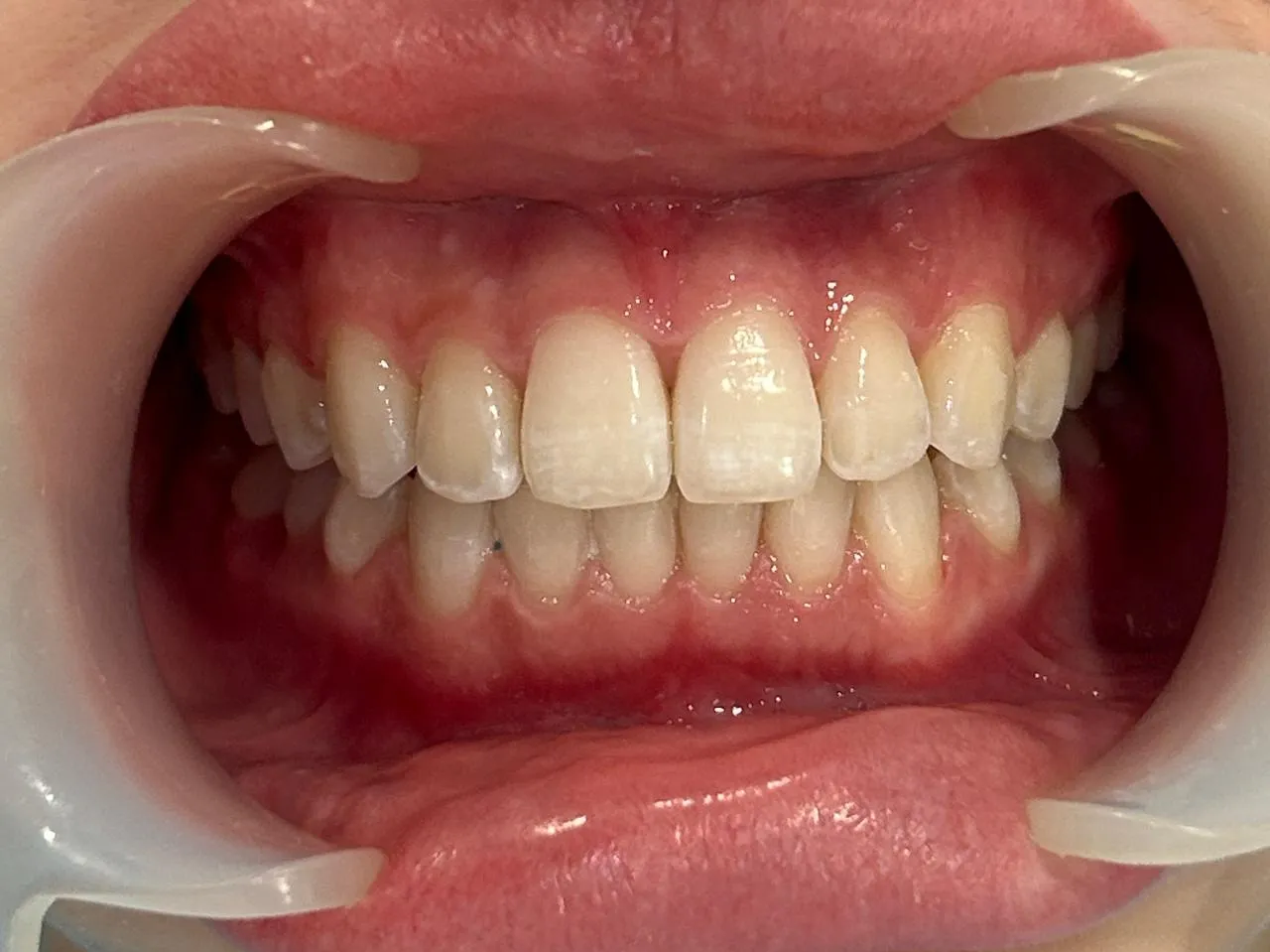
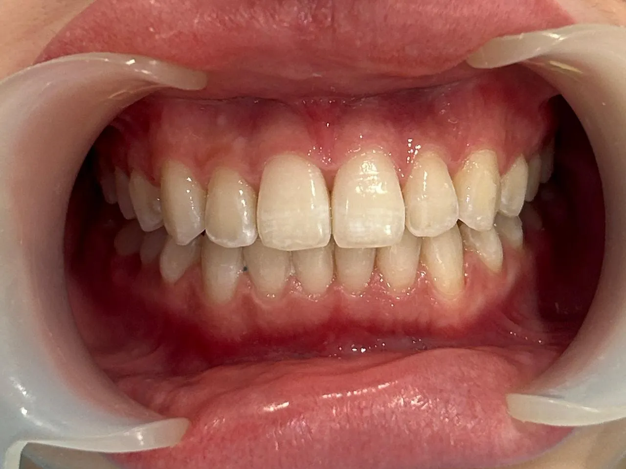
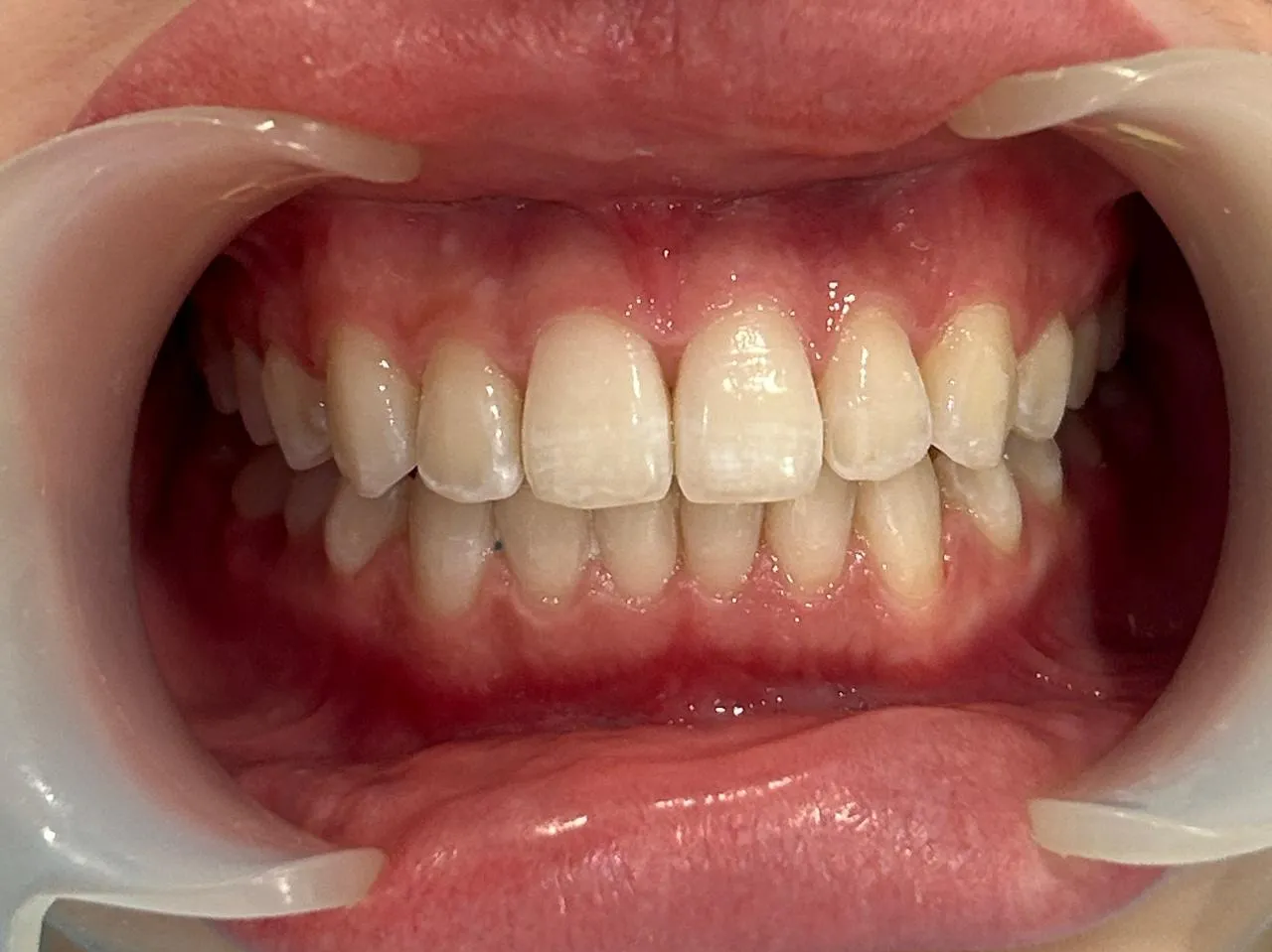
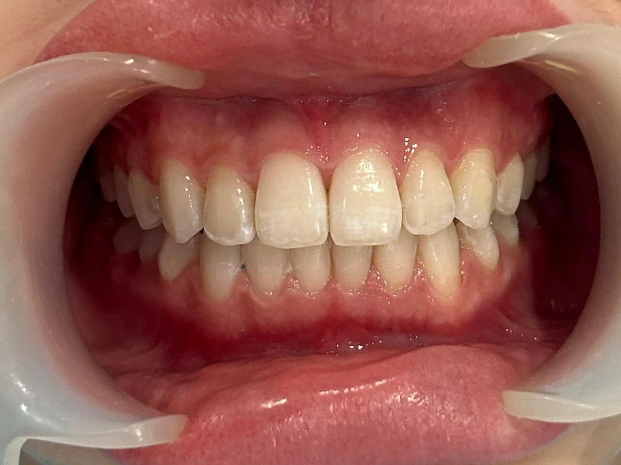
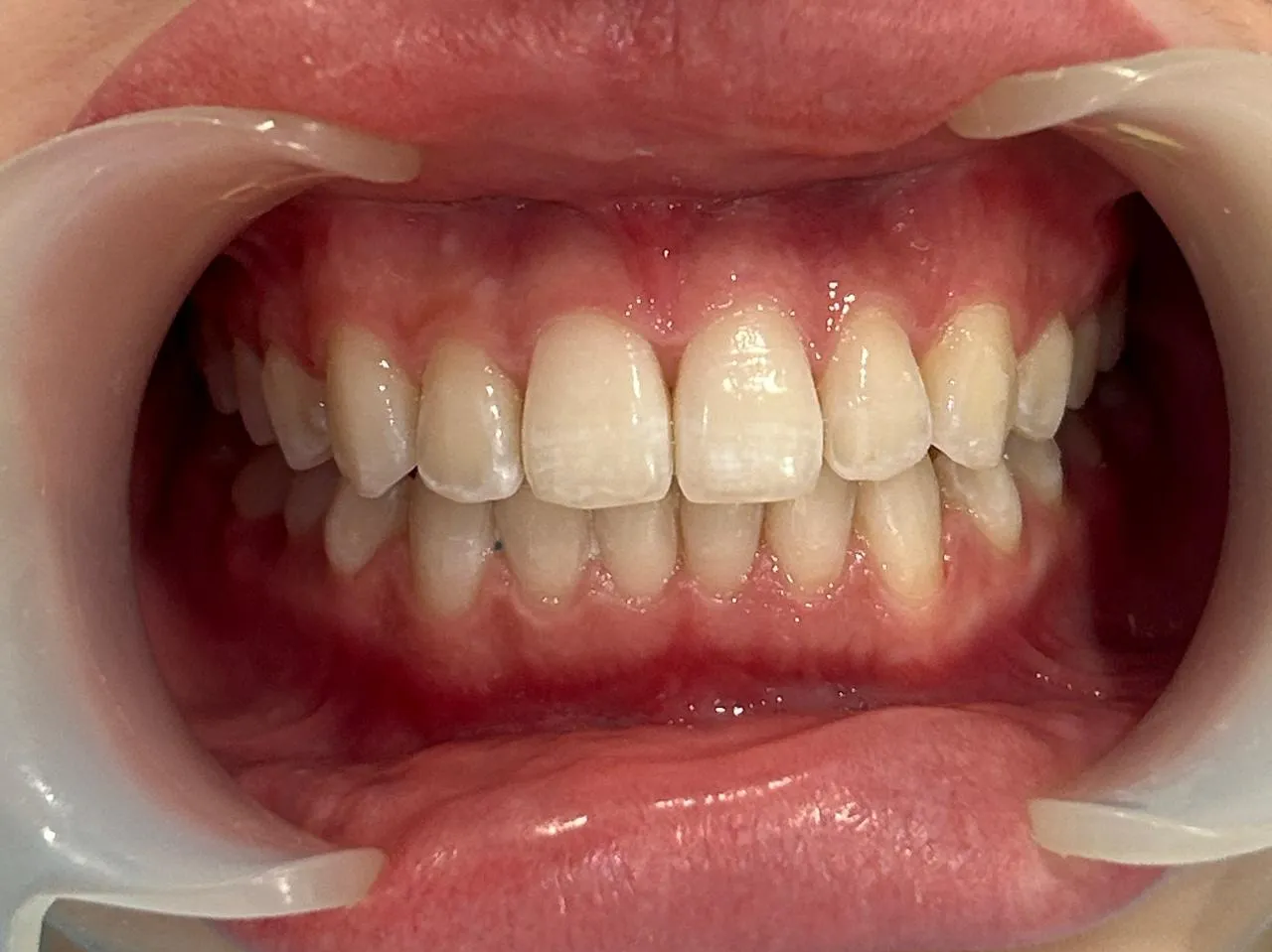
Before and After — Redefined by Precision
See real smile transformations. Move your cursor over each card to compare.








Meet Our Specialists
Latest Dental Insights
Read expert tips and patient-focused guidance from our dental team.
Excellence results you can trust
Accurate diagnosis of dental diseases ensures effective treatment plans, helping to maintain oral health and prevent further complications.

Emergency Services
Urgent dental care is available with fast triage, same-day support, and clear next steps for immediate relief.
Positive patient reviews
Patients consistently value our honest guidance, gentle approach, and transparent communication throughout treatment.
Experienced professionals
Our specialist-led team combines advanced clinical expertise with evidence-based planning for safer, better outcomes.
What our patients say
See what our patients have to say about their dental care experience.
Common Questions
Find answers to frequently asked questions about our dental services and procedures
How often should I visit the dentist?
We recommend visiting every 6 months for regular checkups and cleanings. However, some patients may need more frequent visits based on their oral health needs.
Do you accept insurance?
Yes, we accept most major insurance plans. Our team will help verify your coverage and maximize your benefits for all treatments.
What should I expect during my first visit?
Your first visit includes a comprehensive examination, digital X-rays if needed, and a consultation to discuss your oral health goals and treatment options.
Are dental implants painful?
Modern implant procedures are performed with local anesthesia and sedation options. Most patients experience minimal discomfort during and after the procedure.
How long do veneers last?
With proper care, porcelain veneers can last 10-15 years or longer. Regular dental visits and good oral hygiene help maximize their lifespan.
Do you offer emergency dental services?
Yes, we provide emergency dental care for urgent situations like severe tooth pain, dental trauma, or lost fillings. Contact us immediately for emergency appointments.
Our Dental Insurance Partners
We work together with several prominent insurance partners to establish and deliver services that respond to the needs of our patients.
















Accessible care across Dubai
Visit us at any of our convenient locations across Dubai
Reach Us
DSO Branch
View DSO Branch










